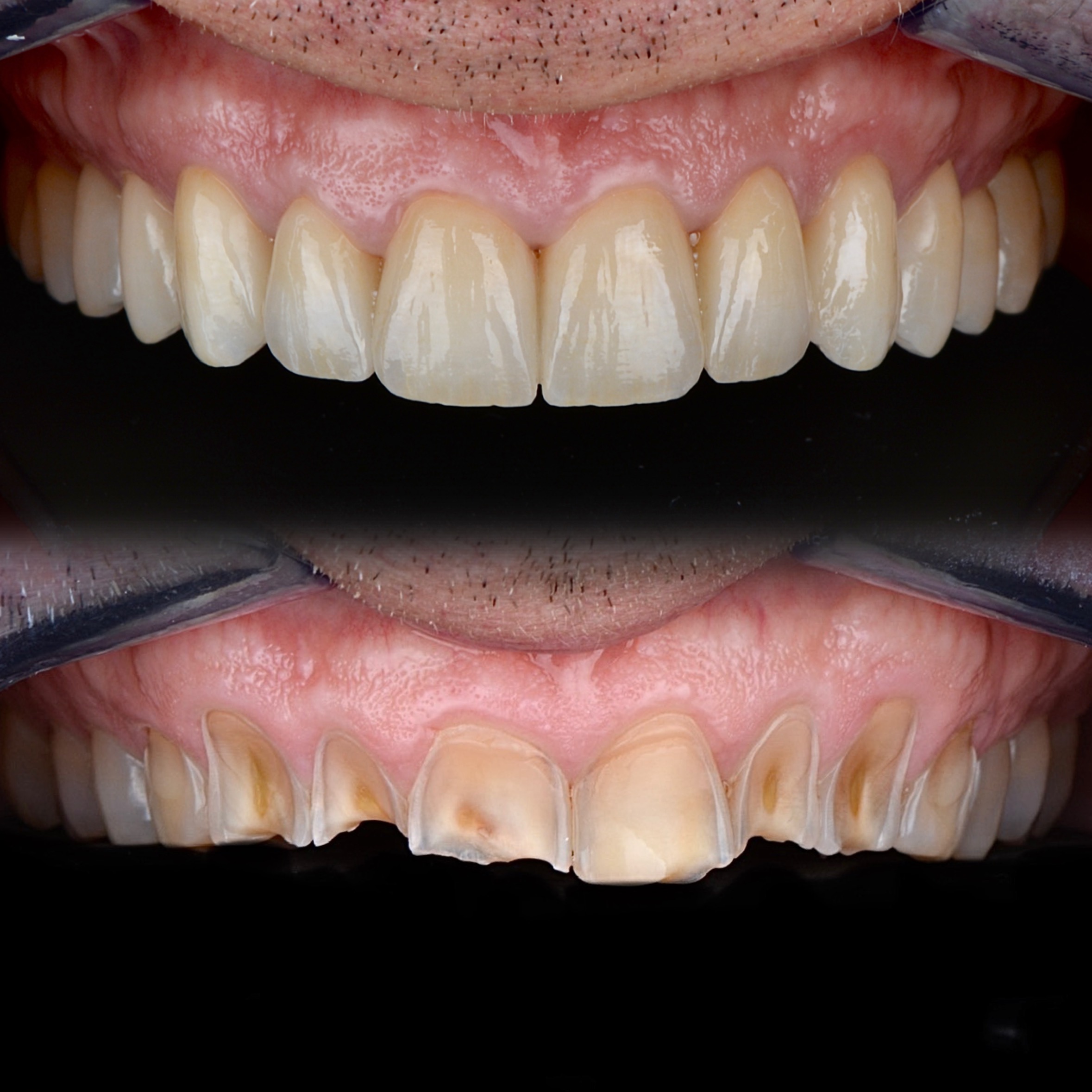
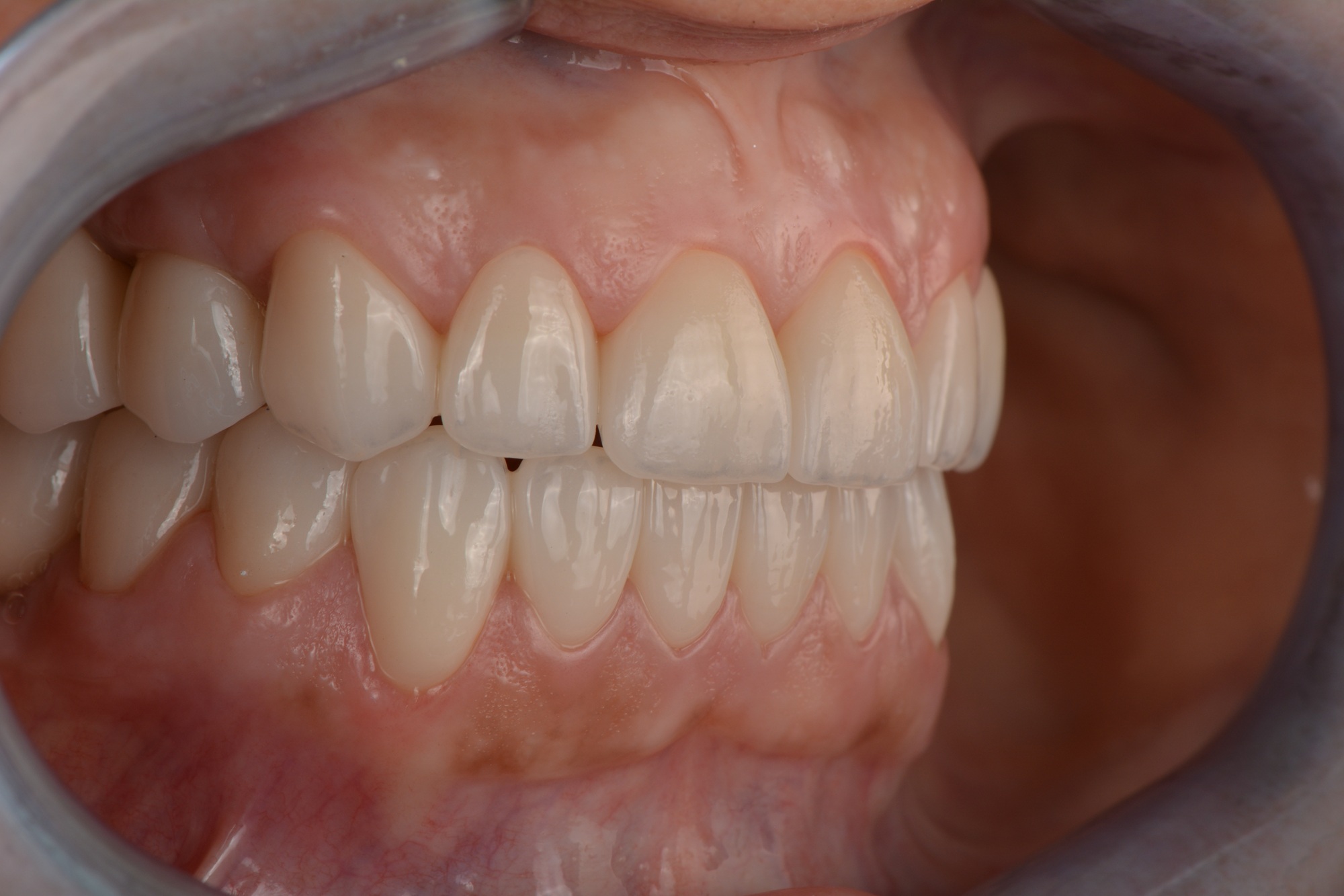
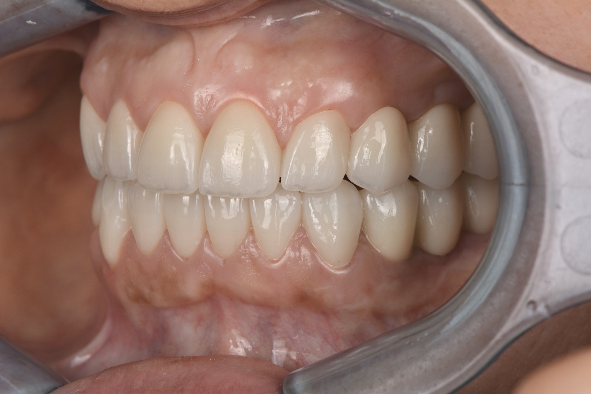
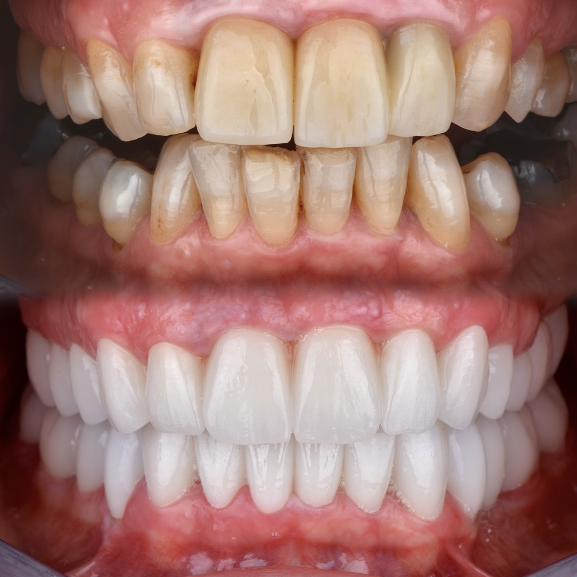
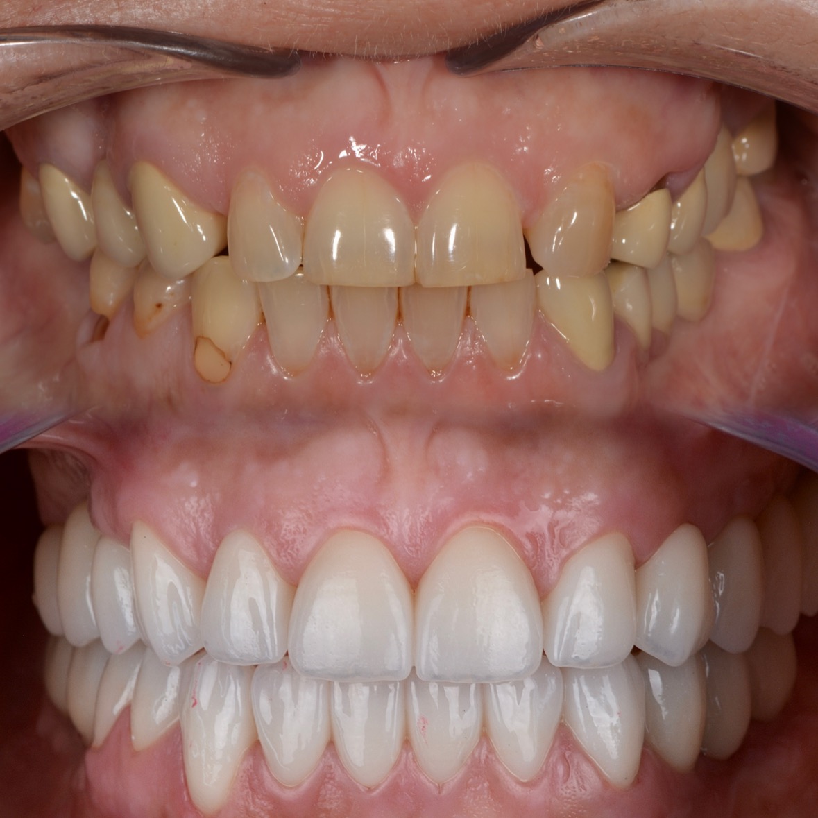
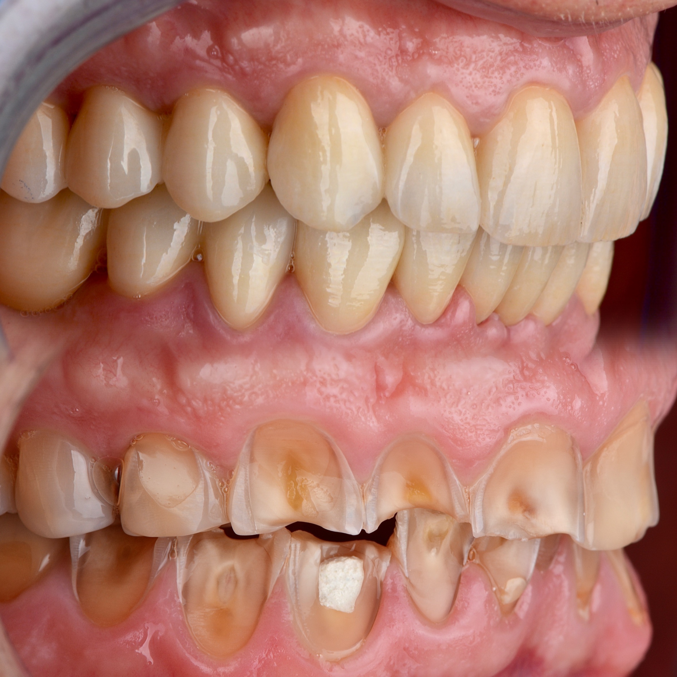
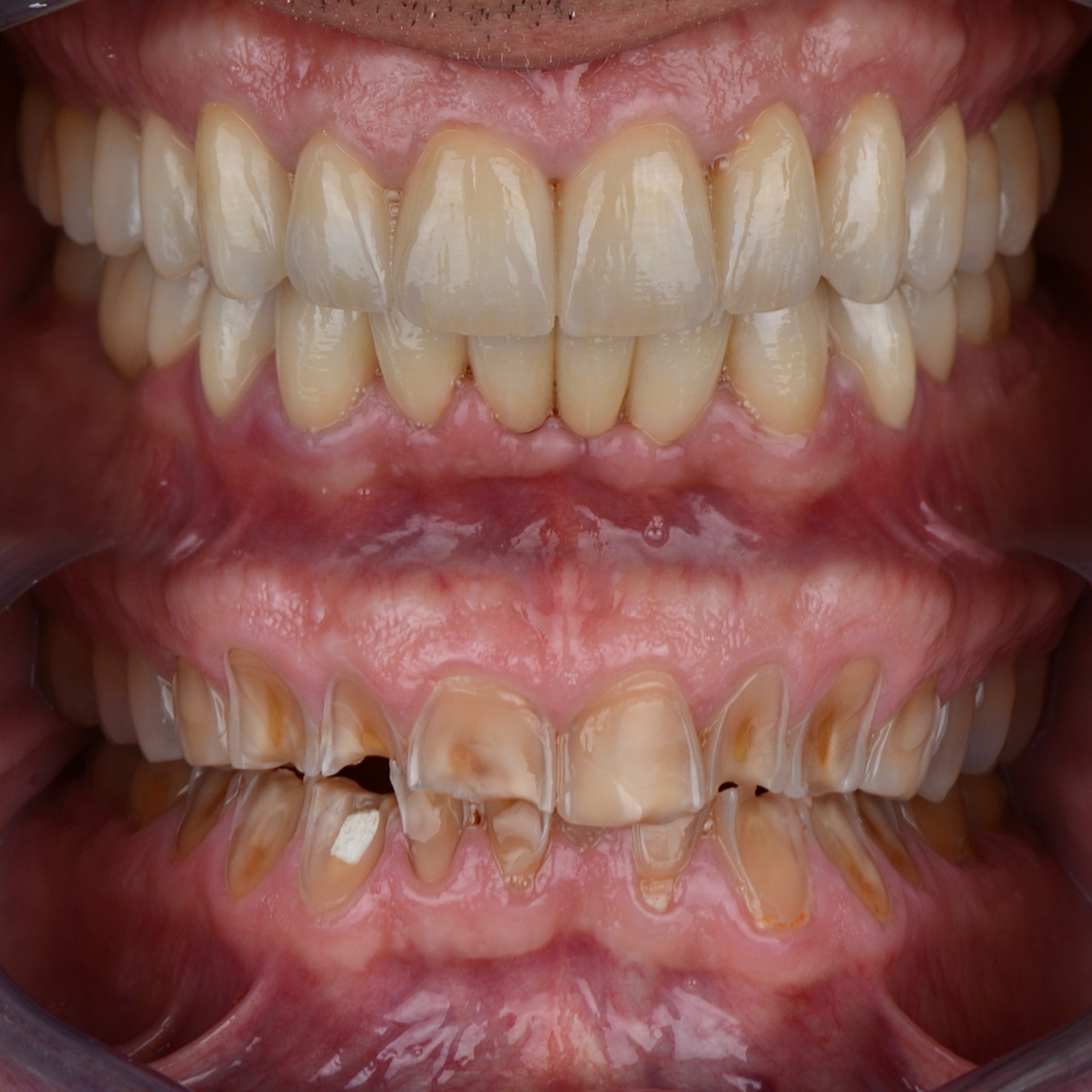
Pre i posle primer za bezmetalnu keramiku.
Prošli smo kroz dugotrajan proces lečenja nakon ozbiljnih erozija izazvanih prekomernom upotrebom citrusnih napitaka.
Strpljenjem, preciznim planiranjem i posvećenom terapijom, uspeli smo da povratimo funkciju, estetiku i osmeh koji traje.
Proces nije brz - ali svaki korak vredi truda 😁
#stomatologija #dentalestetic #stileitalianodentistry #cirkoniacrowns #zdravosmeh #dentist #bezmetalnakeramika #styleitalianodentistry
